
M. Brabec, M. Radvan, M. Hudec, M. Šišáková, P. Vysočanová, R. Štípal, M. Šebo, V. Zvárová, L. Kunovský, D. Nešpor, P. Kala
Souhrn
Efuzivně konstriktivní perikarditida (ECP) patří mezi relativně vzácná onemocnění. Komplikovaná diagnostika je dána skutečností, že se mnohdy manifestuje pod obrazem primárního postižení gastrointestinálního traktu, což oddaluje zahájení nutné terapie. Popisujeme případ 41letého muže s nově zachyceným ascitem a perikardiálním výpotkem při suspektní jaterní cirhóze, který byl dlouhou dobu pro tento nález došetřován cestou gastroenterologické ambulance. Rozvoj srdeční tamponády si vynutil provedení torakoskopické fenestrace perikardu. Výsledek histologie odebraného perikardu v kombinaci s průkazem známek konstrikce na transtorakální echokardiografii (TTE) pak vedly k diagnostice ECP jakožto primárního původce nemoci. I přes následnou maximální farmakologickou terapii však nedošlo k adekvátní regresi onemocnění a pacient musel podstoupit perikardektomii.
© 2021, ČKS.
Klíčová slova:
Ascites
Efuzivně konstriktivní perikarditida
Jaterní cirhóza
Transtorakální echokardiografie
Abstract
Effusive-constrictive pericarditis (ECP) is a relatively rare disease. Frequent primary involvement of the gastrointestinal tract makes the diagnostic process complicated and delays therapy initiation. We describe the case of a 41-year-old man, initially managed for a long time by a gastroenterologist in an outpatient clinic, presenting with a newly detected ascites and pericardial effusion caused suspiciously by liver cirrhosis. Ultimately, the development of a cardiac tamponade required thoracoscopic pericardial fenestration. The pathology report of pericardial biopsy combined with transthoracic echocardiography (TTE) findings of pericardial constriction led to the final diagnosis of ECP. An acceptable regression was not achieved despite the uttermost pharmacological treatment and the patient finally had to undergo pericardiectomy.
Keywords:
Ascites
Effusive-constrictive pericarditis
Liver cirrhosis
Transthoracic echocardiography
Adresa pro korespondenci: MUDr. Michal Brabec, Interní kardiologická klinika, Lékařská fakulta Masarykovy univerzity a Fakultní nemocnice Brno, Jihlavská 20, 625 00 Brno, e-mail: 623@fnbrno.cz
Tento článek prosím citujte takto: Brabec M, Radvan M, Hudec M, et al. Ascites a suspektní cirhóza jater jako dominantní příznaky syndromu efuzivně konstriktivní perikarditidy. Cor et Vasa Case Reports 2021;4:55–60.
Efuzivně konstriktivní perikarditida (ECP) představuje klinický syndrom charakterizovaný současnou přítomností perikardiálního výpotku a konstrikce perikardu, kdy po provedení perikardiocentézy nedojde k poklesu tlaku v pravé síni (PS) o 50 % výchozí hodnoty nebo pod hodnotu 10 mmHg.1,2 Spolu s tranzitorní (reverzibilní) a chronickou konstrikcí náleží mezi základní formy konstriktivní perikarditidy (CP). Ačkoliv nemocní s akutní perikarditidou tvoří až 5 % ze všech pacientů přijímaných pro bolesti na hrudi, vlastní diagnóza ECP je stále velmi vzácná.3 Prevalence ECP u pacientů s perikarditidou je 1,3–4,5 %, nicméně v podskupině symptomatických pacientů podstupujících nutnou perikardiocentézu je pak výskyt až u 16 %.1 Mezi nejčastější příčiny ECP patří idiopatická perikarditida, nádorová onemocnění s nutností radioterapie či proběhlá chemoterapie.1,2 Velkou skupinu pak taktéž tvoří perikarditidy vzniklé po kardiochirurgickém zákroku nebo v návaznosti na rozvoj hemoperikardu po lékařském výkonu.4 Naopak v endemických oblastech s četným výskytem tuberkulózy (TBC) je pak nejčastějším původcem onemocnění mykobakteriální infekce.1
Kazuistika popisuje případ 41letého muže doposud bez lékařské dispenzarizace, jenž neužíval pravidelně žádné léky a byl internistou došetřován pro nově vzniklé nespecifické dyspepsie. Osobní anamnéza byla bez pozoruhodností, udával pouze abúzus kouření a příležitostné užívání alkoholu. Iniciálním patologickým nálezem byla přítomnost výraznějšího ascitu, jenž byl verifikován ultrasonograficky (UZ), a dilatace srdečního stínu na rtg. V dalším průběhu došlo k rozvoji námahové dušnosti, otokům nohou, opakovaným kolapsovým stavům, a proto byla indikována hospitalizace na spádovém interním pracovišti. Zde byl při celkovém vyšetření diagnostikován masivní ascites, méně významný levostranný fluidothorax a velkýperikardiální výpotek (maximální diastolická separace 25 mm v oblasti hrotu), avšak bez známek tamponády. Ejekční frakce (EF) obou komor byla zachována.
V rámci diferenciální diagnostiky byla provedena perikardiocentéza a vypunktováno 500 ml sangvinolentního výpotku charakteru exsudátu. Pro podezření na akutní perikarditidu byla zahájena terapie nesteroidními antiflogistiky (NSA) a kolchicinem. V případě pleurální tekutiny se jednalo o transudát, ascites měl pak makroskopicky vzhled transudátu, avšak vysokou celkovou bílkovinou (45,1 g/l). Ve všech případech nebyly v punktátech zachyceny onkologicky suspektní elementy, negativní bylo i mikrobiologické vyšetření včetně průkazu TBC. Na kontrolním TTE po punkci byla popsána jako jediná patologie dilatace dolní duté žíly (DDŽ) s minimální respiračním kolapsem. V rámci vyloučení možného onkologické procesu byla doplněna kolonoskopie, ezofagogastroskopie včetně endosonografie (EUS) pankreatu a výpočetní tomografie (CT) hrudníku a břicha, vše s negativním nálezem. Na základě výsledků UZ a elastografie jater byla na prvním místě jako základní onemocnění zvažována jaterní cirhóza, ačkoliv na CT břicha byl přítomen pouze obraz jaterní kongesce bez typických známek pro cirhózu. Ke stávající protizánětlivé terapii byla proto přidána diuretika (furosemid + spironolacton) a pacient byl předán k ambulantnímu sledování do gastroenterologické ambulance, kde došlo k postupnému vysazení protizánětlivé terapie. Dle kontrolní TTE (první vyšetření na našem pracovišti), po necelých třech měsících od dimise ze spádové interny, byla diagnostikována recidiva velkého perikardiálního výpotku (video 1), stále trvající dilatace DDŽ a jako vedlejší nález i menší levostranný fluidothorax.
Video 1 – Echokardiografie: velký perikardiální výpotek, maximální diastolická separace 25 mm v oblasti hrotu. Subkostální projekce.Protože nadále probíhalo došetřování suspektního primárního procesu jater, etiologie výpotku byla uzavírána jako sekundární a opětovná protizánětlivá terapie nebyla zahájena. Vzhledem k postupnému zhoršování klinického stavu, sklonu k hypotenzi a další progresi množství tekutiny v perikardu jsme naplánovali v rámci multioborové spolupráce diagnosticko-terapeutickou perikardiocentézu. Iniciálně bylo pod UZ kontrolou z apikálního přístupu vypunktováno 750 ml sangvinolentního exsudátu, avšak dle kontrolního TTE došlo k rychlému doplnění perikardiální tekutiny (video 2).
Video 2 – Echokardiografie: recidiva velkého perikardiálního výpotku, třetí den po punkci. Apikální 4CH projekce.Nicméně druhý pokus o punkci (ze stejného přístupu) byl ale již neúspěšný pro technicky velmi obtížné zavedení drénu z důvodu tuhosti perikardu. Pro postupný rozvoj klinických a echokardiografických známek srdeční tamponády v dalším průběhu hospitalizace musela být provedena torakoskopická fenestrace perikardu s odběrem tkáně na histologii. Zásadní diagnostický průlom v námi prezentované kazuistice pak přinesl výsledek histologie vzorku perikardu, kde byla prokázána chronická fibroproduktivní perikarditida, a bylo tedy poprvé vysloveno podezření na syndrom ECP.
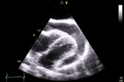
Video 3 – Echokardiografie: septal bounce – prudký pohyb interventrikulárního septa na začátku diastolického plnění směrem do LK a zpět, zvýrazněný v inspiriu. Subkostální projekce.Tuto diagnózu následně podpořila kontrolní TTE se zaměřením na známky konstrikce, kdy byl popsán jak „septal bounce“ (video 3), tak respirační variabilita na mitrální chlopni o 30 % (obr. 1). Definitivně diagnózu ECP potvrdilo katetrizační vyšetření s pravostrannou tonometrií a simultánním záznamem měření tlaku krve v pravé a levé komoře (obr. 2).
Následná biopsie jater pak vyloučila i koincidenci jaterní cirhózy, neboť histologické vyšetření jaterní tkáně odpovídalo chronické venostáze s ložisky asymetrické fibrózy. Při zavedené plné protizánětlivé terapii NSA (ibuprofen 1 800 mg/den), kolchicinem (1 mg/den) a kortikosteroidy (prednison 20 mg/den) byl pacient v dalším průběhu bez subjektivních obtíží a bez progrese množství tekutiny v perikardu. Nálezy byly předvedeny heart teamu a bylo rozhodnuto o provedení elektivní perikardektomie. Kontrolní TTE před plánovanou operací prokázalo dobrý efekt zavedené terapie s výraznou regresí perikardiálního výpotku, nicméně již bylo patrné výrazné difuzní ztluštění perikardu (obr. 3) s četnými kalcifikacemi. Vlastní operační výkon, totální perikardektomie dle Holmana a Willetta (obr. 4), proběhl bez komplikací s dobrým pooperačním výsledkem.
Jedním z hlavních problémů syndromu ECP je relativně dlouhá doba diagnostiky, kdy obvykle od prvních symptomů do stanovení přesné etiologie onemocnění uplynou řádově měsíce. Tento fakt je dán především variabilními klinickými projevy ECP, poměrně komplikovanou diagnostikou a také tím, že se jedná o vzácné onemocnění, a proto je často v diagnostické rozvaze opomíjeno.
Různorodost klinických projevů odráží i náš případ, kdy dlouho subjektivním obtížím dominovaly nespecifické dyspepsie a prvotním patologickým nálezem v rámci iniciálního vyšetření byla přítomnost ascitu. Tato skutečnost pak výrazně ovlivnila následné došetřování, protože až do provedení fenestrace perikardu byl za vlastní příčinu obtíží považován primární proces v oblasti gastrointestinálního traktu, konkrétně na prvním místě malouzlová cirhóza jater. Pokud vezmeme na vědomí, že v 75 % je příčinou ascitu jaterní cirhóza, v 10 % malignita a pouze 3 % připadají na srdeční selhání,5 byly tyto úvahy zcela namístě. V rámci diferenciální diagnostiky nově vzniklého ascitu pak ani echokardiografie nepatří mezi rutinně prováděná vyšetření, což odhalení možné kardiální etiologie oddaluje.
Naopak diagnostická punkce a biochemický rozbor u nově vzniklého ascitu je indikován vždy a již zde můžeme najít první rozdíly. Zatímco stejně jako u cirhózy je v případě ascitu vzniklého na podkladě konstrikce perikardu albuminový gradient sérum–ascites (SAAG) > 11 g/l, tak pro CP je typická vysoká hodnota celkové bílkoviny v ascitické tekutině (> 25 g/l).6 Dalším vodítkem pak může být nález levostranného fluidotoraxu. Pleurální výpotek se sice v 5–10 % vyskytuje taktéž i u cirhózy, nicméně dominantně bývá na pravé straně. Naopak stanovení sérové koncentrace natriuretického peptidu typu B (BNP) nemá výraznější přínos, neboť jak u CP, tak v případě perikardiálního výpotku jsou jejich hodnoty obvykle nízké,7–12 a opačně u jaterní cirhózy mohou být vysoké.13 Zásadním klinickým rozlišovacím znakem je pak přítomnost zvýšené náplně krčních žil zvýrazňující se v inspiriu, tzv. Kussmaulovo znamení (vyjádřeno u 80–93 % pacientů s CP),14,15 které se u pacientů s cirhózou jater běžně nevyskytuje.6 V námi dokumentovaném případě činila hodnota celkové bílkoviny v ascitu 45,1 g/l a popsán byl i levostranný pleurální výpotek. I když ascites provází ECP poměrně často, významná progrese postižení jater až do obrazu jaterní cirhózy je popisována vzácně.15,16
Jednoznačný nález pro ECP nenacházíme ani v případě vyšetření rutinními diagnostickými metodami. Dilatace srdečního stínu na rtg je sice nespecifická, nicméně by měla být indikací k echokardiografii, zejména jsou-li současně přítomny kolapsové stavy jako v našem případě. Ačkoliv je TTE považována za jednu z klíčových metod v rámci diagnostiky ECP,17 v námi dokumentované kazuistice k časnému stanovení správné diagnózy nevedla. Mezi typické echokardiografické známky konstrikce perikardu patří tzv. septal bounce a respirační variabilita transmitrálního průtoku o více než 25 %.1 Zásadní pro diagnózu ECP je však přetrvání výše zmíněných znaků i po provedení punkce perikardu s evakuací tekutiny. V našem případě první TTE provedená necelých šest měsíců od vzniku obtíží sice zachytila relativně typický obraz výpotku (echogenní, lokalizovaný, s vlákny fibrinu), avšak kromě výrazné dilatace DDŽ ostatní znaky konstrikce chyběly. Obdobný nález přinesla i následná kontrolní vyšetření. Pravdou ovšem zůstává, že například vyšetření reverzního toku jaterními žilami (v případě ECP dochází k exspiračnímu zvýšení reverzního toku)4 je v průběhu echokardiografického vyšetření často opomíjeno. Hodnocení přítomnosti „septal bounce“ pak může být výrazně ovlivněno zkušeností a zejména pečlivostí lékaře. V našem případě však klíčovou roli hrála absence variability transmitrálního průtoku. I když se po ní cíleně pátralo při každém vyšetření, zejména v rámci hodnocení významnosti výpotku, zcela vyjádřena byla poprvé až po fenestraci perikardu. I na základě těchto výsledků, zvážíme-li, že dilatovaná DDŽ je poměrně obvyklým nálezem u pacientů s jaterní cirhózou,16 byla primárně kardiální etiologie onemocnění přehlížena.
Významný perikardiální výpotek pak pochopitelně do obrazu jaterního onemocnění nepatří. Jedná se o záležitost dosti raritní a dokumentovány jsou pouze jednotlivé případy,18 často s prokázanou komunikací mezi perikardem a peritoneální dutinou.19,20 Rozdíly nacházíme i v případě laboratorní analýzy výpotku. Zatímco u cirhózy se typicky jedná o transudát, pro syndrom ECP naopak svědčí nález sangvinolentní tekutiny, charakteru exsudátu s vysokým zastoupením neutrofilních leukocytů a nízkým procentem monocytů,1 jako tomu bylo i v našem případě.
Pokud není TTE v diagnostice ECP adekvátně průkazná a nadále panují pochybnosti ohledně etiologie onemocnění, je třeba doplnit magnetickou rezonanci (MR). Z MR srdce získáme jak informaci o probíhajícím zánětu (v tomto ohledu se jedná o nejpřesnější neinvazivní metodu), tak v případě provedení cine sekvence v reálném čase i nález zvýšené mezikomorové dependence (posun mezikomorového septa směrem doleva v inspiriu) jakožto významný znak konstrikce.21 Naproti tomu CT je metodou spíše podpůrnou, neboť i když je schopna dobře zobrazit ztluštění perikardu či případné kalcifikace, potřebné hemodynamické parametry charakteristické pro ECP stanovit nedokáže. Pouze v případech zejména před kardiochirurgickou intervencí, kdy neinvazivními metodami získané nálezy nejsou dostatečně průkazné, je nutné provést pravostrannou srdeční katetrizaci, která nadále platí za zlatý diagnostický standard.1
Otázkou zůstává, zda by časnější stanovení diagnózy mělo vliv na další terapeutický postup a mohlo odvrátit nutnost provedení perikardektomie. Dle Kima a spol. se ukazuje, že odpovídající protizánětlivá léčba má u ECP dlouhodobě dobré výsledky a nutnost podstoupit rizikovou perikardektomii vyžaduje pouze malé procento pacientů s přetrvávajícími známkami konstrikce a recidivujícími výpotky. Základní farmakoterapeutická strategie se opírá o vysoké dávky NSA (ibuprofen) nebo acetylsalicylové kyseliny (ASA), optimálně v kombinaci s kolchicinem. Léčba je doporučována po dobu tří měsíců s eventuálním dalším prodloužením dle individuální odpovědi. V případě kombinované terapie by pak měl být kolchicin vysazen až jako poslední.2,22–25 Tento postup však v našem případě dodržen nebyl: zejména v případě kolchicinu došlo k relativně časnému vysazení. Následná recidiva onemocnění již byla označena jako sekundární a další léčba nebyla indikována. Pokud bychom již od začátku věděli, že se jedná o ECP, lze předpokládat, že by terapie byla vedena agresivněji s četnější dispenzarizací efektu léčby a po delší dobu. Zejména v případě recidivy by jistě došlo k opětovnému zahájení protizánětlivé terapie, pravděpodobně i v kombinaci s kortikosteroidem. Kombinace ibuprofen, kolchicin, prednison se v závěru ukázala jako adekvátní prevence rekurence výpotku, ačkoliv to již neovlivnilo přetrvávání známek konstrikce a nutnost provedení perikardektomie.
Popsaný případ ukazuje na nezbytnost mezioborového přehledu a schopnosti přehodnotit původní diagnózu. Přestože prvotní příznaky i nálezy svědčily o onemocnění jater, nakonec se jako etiologie prokázal syndrom ECP. Nicméně z dostupné literatury je známo několik případů, kdy byli pacienti s obdobnými klinickými projevy zařazeni na čekací listinu k transplantaci jater či transplantaci přímo podstoupili a až následně byla jako původce nemoci diagnostikována CP.26–28 Je tedy nezbytné, aby v případě nálezu ascitu de novo, který nemá zcela zřejmý původ, byla vždy možná kardiální etiologie důsledně vyloučena pečlivým echokardiografickým vyšetřením se zaměřením na možnou konstrikci, včetně eventuálního provedení MR srdce, či pravostranné katetrizace v případě přetrvávajících pochybností. Dojde-li k časnému zahájení adekvátní farmakoterapie, může být pacient v budoucnu ušetřen nutnosti provedení velmi rizikové perikardektomie.
Prohlášení autorů o možném střetu zájmů
Žádný střet zájmů.
Financování
Podpořeno MZ ČR – RVO (FNBr, 65269705).
Literatura
MUDr. Michal Brabec v roce 2016 absolvoval studium na Lékařské fakultě Masarykovy univerzity v Brně. Ve stejném roce nastoupil jako sekundární lékař na Interní kardiologickou kliniku Fakultní nemocnice Brno, kde pracuje doposud. Specializuje se na neinvazivní kardiologii. V současné době se připravuje na atestaci z kardiologie.